Serviços
Atuamos exclusivamente em Endodontia com os seguintes procedimentos:
  • Tratamento Endodôntico
  • Retratamento Endodôntico
  • Remoção de Núcleo e Pinos de Fibra de Vidro
  • Preparo para Núcleo
  • Instalação de Pinos de Fibra de Vidro

Podemos disponibilizar os dados do tratamento em um relatório de atendimento, que contém fotos, radiografias e informações sobre o que foi realizado.

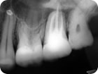
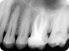
Tratamento Endodôntico
Tratamento Endodôntico 1
Tratamento Endodôntico 2
Tratamento Endodôntico 3
Tratamento Endodôntico 4
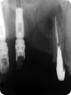
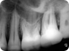
Retratamento Endodôntico
Retratamento Endodôntico 1
Retratamento Endodôntico 2
Retratamento Endodôntico 3
Retratamento Endodôntico 4
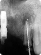
Remoção de Núcleo
Remoção de Núcleo 1
Remoção de Núcleo 2
Remoção de Núcleo 3
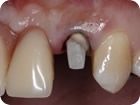
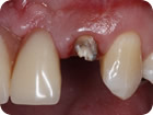
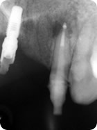
Instalação de Pino de Fibra
Instalação de Pino de Fibra 1
Instalação de Pino de Fibra 2
Instalação de Pino de Fibra 3
Instalação de Pino de Fibra 4
Dr. Eduardo Zeferino - Rua Lions Club, 301 – Guanabara – Campinas – SP – Fone: (19) 3241-4670 - endodontiacampinas@yahoo.com.br